Электронные сигареты и вейпы, которые многие считают менее вредной альтернативой обычным сигаретам, могут вызывать серьезные проблемы со здоровьем. Иммунолог, кандидат медицинских наук Николай Крючков рассказал, какие симптомы должны насторожить любителей парения.
Как распознать начало болезни вейперов
По словам специалиста, первым тревожным звонком становится кашель, который появляется у людей, регулярно использующих электронные сигареты. Причем характер кашля может различаться.
«Если человек курит вейпы регулярно, у него начинается кашель, может быть сухой, может быть с мокротой, как правило, второе», — объяснил Николай Крючков.
Кашель — лишь начало проблем. Со временем к нему присоединяются и другие симптомы, которые заметно снижают качество жизни.
«К этому может присоединяться со временем ощущение нехватки воздуха: необязательно одышка сразу, а просто некомфортное ощущение, особенно при физической нагрузке, снижение толерантности к физической нагрузке», — отметил врач.
Как прогрессирует болезнь вейперов
Николай Крючков предупреждает, что если продолжать курить электронные сигареты, проблемы с дыханием будут только усугубляться. Постепенно у человека развивается настоящая одышка.
«Начинается это с физической нагрузки, потом проявляется даже в покое. Фактически возникает хроническая дыхательная недостаточность», — предупреждает иммунолог.
Врач подчеркивает, что поражение организма не ограничивается только дыхательной системой. Негативному воздействию подвергаются и другие жизненно важные системы.
«Плюс к этому поражается сердечно-сосудистая система. Поражается нервная система от воздействия никотина. Это не сразу все происходит, со временем», — заметил специалист.
Почему вейпы вызывают серьезные заболевания
Хотя производители электронных сигарет часто позиционируют свою продукцию как безопасную альтернативу традиционному курению, исследования показывают, что вейпы содержат множество опасных веществ.
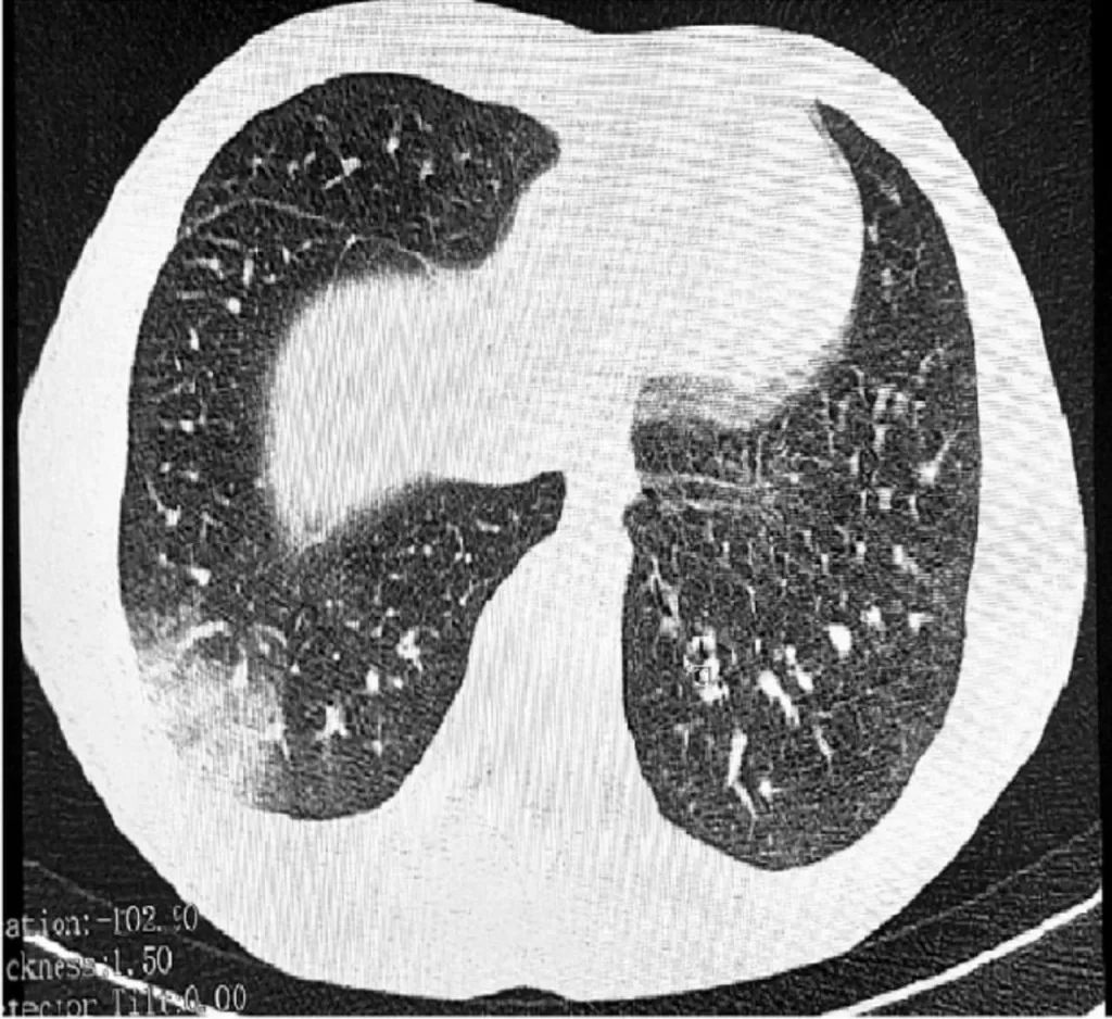
При нагревании жидкости для вейпа образуются не только пары никотина, но и различные токсичные соединения, в том числе формальдегид, ацетальдегид и акролеин. Эти вещества раздражают дыхательные пути, вызывая воспаление и повреждение тканей легких.
Кроме того, мелкие частицы аэрозоля проникают глубоко в легкие, где они могут накапливаться и вызывать хроническое воспаление. Именно этим объясняется прогрессирующий характер «болезни вейперов».
Врачи советуют людям, которые заметили у себя первые признаки заболевания, немедленно отказаться от использования электронных сигарет и обратиться к пульмонологу для профессиональной консультации и лечения.
Следите за новостями о здоровье и здоровом образе жизни в нашем Telegram-канале Digital Report: https://t.me/DigitalRep
- Астероид CE2XZW2, угрожавший Земле прошел мимо - 15/01/2026 14:28
- С 1 января 2026 года Asus аннулировала международную гарантию в России - 15/01/2026 14:17
- Браузер Samsung официально вышел на Windows по всему миру - 15/01/2026 14:04



