Инфекция демонстрирует парадоксальную клиническую картину: симптомы ветрянки сочетаются с тяжелым поражением дыхательных путей, при этом стандартные ПЦР-системы не видят угрозы.
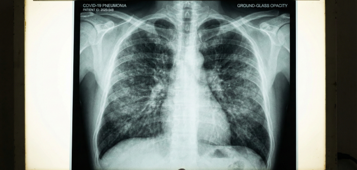
Температура под сорок, которую невозможно сбить привычными жаропонижающими, и изнуряющий сухой кашель на фоне идеально чистого теста на COVID-19 — таков клинический портрет пациента, с которым все чаще сталкиваются врачи в приемных покоях российских стационаров. Медицинская статистика последних недель фиксирует тревожную аномалию: в регионах растет число госпитализаций с тяжелыми пневмониями, этиологию которых не удается установить экспресс-методами. Болезнь развивается по сценарию, который инфекционисты называют «слепым пятном» диагностики, когда клиническая картина требует реанимационных действий, а лабораторные данные говорят об отсутствии привычных возбудителей гриппа или коронавируса.
Симптоматика, с которой пациенты обращаются за помощью, напоминает неудачный гибрид нескольких инфекций. Врачи отмечают нехарактерное для респираторных заболеваний сочетание: наряду с классическими признаками поражения легких — одышкой и падением сатурации — у больных наблюдаются кожные высыпания, схожие с ветряной оспой или энтеровирусной экзантемой. Однако, в отличие от детской ветрянки, этот вирус (или вирусный коктейль) демонстрирует агрессивную тропность к легочной ткани. Воспалительный процесс стартует молниеносно, часто минуя стадию легкого недомогания, и за считанные дни приводит к обширному поражению паренхимы.
Эксперты связывают диагностические трудности с природой вспышки. Вероятнее всего, речь идет о сочетанной инфекции — так называемой микст-патологии, когда на организм одновременно атакуют активизировавшаяся микоплазма (Mycoplasma pneumoniae) и сезонные вирусы, включая мутировавшие штаммы энтеровирусов или аденовирусов. Микоплазма, будучи внутриклеточным паразитом, не видна для стандартных вирусных тестов и не реагирует на популярные антибиотики пенициллинового ряда, что объясняет безуспешность домашнего самолечения. Пациенты теряют драгоценное время, принимая препараты, которые не действуют на возбудителя, пока инфекция опускается в нижние дыхательные пути.
Вирусолог Виктор Зуев указывает на эволюционный характер происходящего. Появление патогенов с измененными свойствами — это результат естественного отбора в вирусной среде. После пандемии, когда доминировал один сверхмощный штамм, освободившуюся экологическую нишу начали занимать другие агенты, конкурирующие за носителя. Мутации позволяют вирусам не только обходить иммунную защиту, но и менять «мишени» в организме, что объясняет странное сочетание дерматологических и пульмонологических симптомов. Нынешний возбудитель ведет себя как «пневмония-хамелеон», маскируясь под менее опасные болезни до момента критического ухудшения состояния.
Особую обеспокоенность вызывает смещение фокуса заболеваемости. Если традиционно пневмония считалась угрозой для пожилых, то сейчас в стационары массово поступают люди трудоспособного возраста и дети. Иммунологи отмечают, что особенно уязвимы те, кто имеет в анамнезе хронические бронхиты, астму или перенес тяжелый COVID-19 в прошлом, оставивший след в виде фиброзных изменений. Для этой категории пациентов скорость развития дыхательной недостаточности становится критическим фактором выживания.
Сложившаяся ситуация меняет подход к первичной диагностике. Врачи настоятельно рекомендуют отказаться от тактики выжидания и доверия отрицательным экспресс-тестам. Отсутствие двух полосок на тесте при наличии высокой лихорадки, сыпи и кашля больше не является маркером безопасности. Нынешний эпидсезон диктует новые правила: любое затяжное повышение температуры с респираторными симптомами требует исключения атипичной пневмонии методами компьютерной томографии и специфических анализов крови, а не только мазков из носоглотки. Биологическая реальность такова, что вирусы учатся обманывать нашу бдительность быстрее, чем мы обновляем аптечки, и цена промедления в этот раз измеряется объемом сохранной легочной ткани.
Для тех, кто хочет оперативно отслеживать эпидемиологическую ситуацию и получать проверенные инсайды от медицинского сообщества, полезным ресурсом станет телеграм-канал Digital Report.
- Предиктивная аналитика: как бизнес предсказывает будущее с помощью данных - 22/01/2026 20:28
- Ученые из Нью-Йорка раскрыли тайну строительства пирамиды Хеопса - 22/01/2026 20:19
- Оскар-2026: Битва титанов, вампиры Куглера и бразильский сюрприз - 22/01/2026 20:15



